Tarifs & Dates de la formation
DATE
ADRESSE & HORAIRES
INSCRIP.
Mar
31/03
Durée : 1 journée de 7h en présentiel de 09:00 à 18:00
Fin des inscriptions : 30 Mars
Mar
02/06
Durée : 1 journée de 7h en présentiel de 09:00 à 18:00
Date limite d'inscription : 18 Mai
Sam
03/10
Durée : 1 journée de 7h en présentiel de 09:00 à 18:00
Date limite d'inscription : 17 Septembre
Modalités de la formation
Type : Travaux Pratiques
Nombre de participants : maximum 9
Durée : 1 journée de 7h en présentiel de 09:00 à 18:00
Objectifs d'enseignement
CETTE FORMATION EST-ELLE POUR MOI ?
Je maîtrise les bases de l'échocardiographie normaleJe souhaite progresser vers l'interprétation des images pathologiques et intégrer l'échocardiographie dans une démarche diagnostique clinique
Pré-requis
- Être vétérinaire diplômé (Docteur Vétérinaire)- Connaître les principes de formation de l'image échographique en modes BD (2D) et TM
- Savoir ajuster les réglages de base en BD et TM
- Connaître l'anatomie et l'aspect échographique normal du cœur et des gros vaisseaux en 2D et TM
- Être capable de réaliser un examen échocardiographique complet en 2D et TM
Objectifs pédagogiques
A l'issue de la formation les participants seront capables de :- Identifier des anomalies échographiques en mode 2D et/ou TM
- Décrire les anomalies 2D/TM observées
- Reconnaître les principaux signes échographiques des cardiopathies acquises courantes
- Classer et grader les cardiopathies congénitales simples à partir des anomalies 2D/TM
- Proposer, si besoin, des examens complémentaires adaptés pour affiner le diagnostic
Déroulement de la formation
Théorie
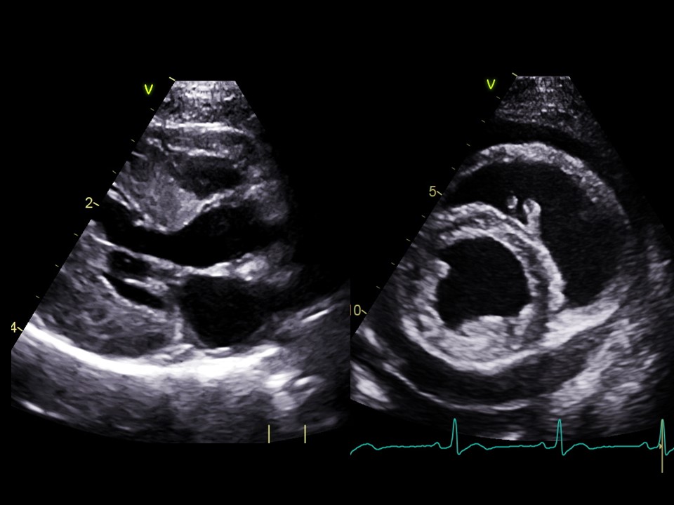
- Échocardiographie 2D et TM des principales cardiopathies congénitales
Pause
Travaux dirigés
- Cas cliniques interactifs de cardiopathies congénitales
- Analyse d'images fixes et vidéos 2D/TM
- Discussion guidée : repérage, description, interprétation et diagnostic différentiel
Repas
Théorie
- Échocardiographie 2D et TM des principales cardiopathies acquises
Pause
Travaux dirigés
- Cas cliniques interactifs de cardiopathies acquises
- Analyse d'images fixes et vidéos 2D/TM
- Discussion guidée : repérage, description, interprétation et diagnostic différentiel
Évaluation
- Contrôle des connaissances
- Échocardiographie 2D et TM des principales cardiopathies congénitales
Pause
Travaux dirigés
- Cas cliniques interactifs de cardiopathies congénitales
- Analyse d'images fixes et vidéos 2D/TM
- Discussion guidée : repérage, description, interprétation et diagnostic différentiel
Repas
Théorie
- Échocardiographie 2D et TM des principales cardiopathies acquises
Pause
Travaux dirigés
- Cas cliniques interactifs de cardiopathies acquises
- Analyse d'images fixes et vidéos 2D/TM
- Discussion guidée : repérage, description, interprétation et diagnostic différentiel
Évaluation
- Contrôle des connaissances
Documents de formations
1. Images et videos de cas cliniques
2. Diaporama de présentation et d'analyse des cas cliniques remis aux participants
2. Diaporama de présentation et d'analyse des cas cliniques remis aux participants
Méthodes mobilisées
- Présentation théorique avec support (PowerPoint, vidéos...)
- Travaux dirigés
- Contrôle des connaissances : QCM
- Travaux dirigés
- Contrôle des connaissances : QCM
Attribution des points de formation (CFC)
Le suivi de l'intégralité de la formation et le succès au contrôle des acquis (au moins 10/20) créditent le participant de 1.62 CFC
Dernière mise à jour 05/03/2026
